糖尿病为何越来越常见?你的模型跟上了吗?高糖+STZ造模指南来啦!
数据显示,我国糖尿病患者人数已超1亿,且呈现年轻化趋势。这一现象的背后,除了高糖饮食的流行,还与多种因素密切相关:久坐不动的生活方式、肥胖率上升、睡眠不足、压力过大以及遗传因素等,都在无形中增加了年轻人患糖尿病的风险。
糖尿病模型是研究糖尿病病理机制及药物干预的重要工具,但如何快速、高效地构建模型,仍是许多科研人的实验难题。
本文将为您全面解析高糖饮食联合链脲佐菌素(STZ)构建糖尿病模型的全流程,从实操细节到病理验证,一步到位!科研党速速收藏!
01、糖尿病模型

02、实验材料与方法

1、实验动物
1) 物种:雄性SD大鼠(6-8周龄)或C57BL/6小鼠(8-10周龄)。
2) 饲养条件:SPF级环境,12小时光暗循环,自由饮水。
2、造模方法
1) 高脂饲料配方:60 kcal%脂肪(超高脂)和45 kcal%脂肪(高脂)等多种配方,以及10kcal%脂肪的对照饲料;通常6-8周可建立Ⅱ型糖尿病模型。
2) 饲喂方式:自由进食进水;饲喂前期使用普通饲料搭配高脂饲料进行饲喂,慢慢过渡到完全饲喂高脂饲料
小贴士:饲料需低温保存,每2-3天更换一次,防止变质
3) 小鼠饲养环境:3只1笼饲养;但多只合笼饲养容易打架,导致小鼠体重下降甚至死亡,必要时可对其进行单笼饲养;使用木屑垫料防止小鼠吃玉米芯垫料。
3、STZ注射
1) STZ配制:冰上溶解STZ于预冷柠檬酸缓冲液(浓度:大鼠30-40 mg/kg,小鼠50-100 mg/kg);
2) STZ注射:注射前禁食6 h,可提高β细胞对STZ敏感性,增加造模易感性;
大鼠:单次腹腔注射30-40 mg/kg
小鼠:单次腹腔注射100 mg/kg,或低剂量多次(如40 mg/kg/天×5天)
对照组注射等体积柠檬酸缓冲液。
小贴士:STZ配制及注射过程中均需避光低温操作,配制完成后30min内完成注射。
03、模型评估
体重
持续关注小鼠体重变化
高糖饮食造模期间体重呈上升趋势
STZ注射后体重呈下降趋势
摄食量
测量摄食量,评估小鼠高脂饲料食用量
血糖
使用血糖仪检测
小鼠的血糖值范围一般在80-120 mg/dl之间
血糖浓度超过120 mg/dl为高血糖
浓度低于80 mg/dl为低血糖
血生化
通过ELISA或生化分析仪检测血清胰岛素水平
行为学
糖尿病动物可能表现出进食行为和运动行为的改变,这些变化可通过观察和特定的行为学实验进行评估。
例如,糖尿病小鼠常表现出饮水量增加、尿糖升高,导致垫料更换频率增高病理诊断
组织形态学观察主要是通过显微镜观察糖尿病动物模型中各组织的病理变化如胰岛形态、细胞排列或免疫组化研究,以评估模型的构建是否成功。
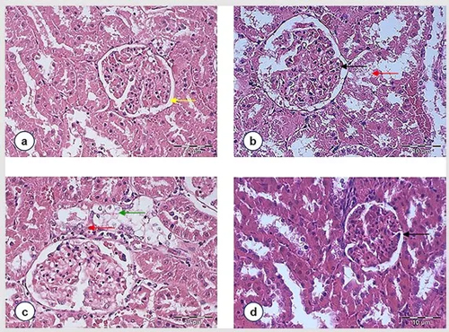
此外,还可观察肾脏等组织,来评估由糖尿病引发的糖尿病肾病模型。

图 1 免疫组化标记胰岛素,苏木精反染后的胰腺组织病理学观察(B)[1]

图 2 HE染色后的肾脏组织(肾脏肾小球和肾小管)病理学观察 [2]
参考文献:
【1】 Samsulrizal, N., Yong-Meng, G., Ahmad, H., Syimal’ain Azmi, N., Mohamad Zin, N. S. N., & Mahdi, E. (2020). Infrared spectral markers for the nephroprotective effects of Ficus deltoidea in streptozotocin-induced diabetic rats. bioRxiv, 2020. 4120. https://doi.org/10.1101/2020.12.23.424120.
【2】Murata M, Takahashi A, Saito I, Kawanishi S. Site-specific DNA methylation and apoptosis: induction by diabetogenic streptozotocin. Biochem Pharmacol 57: 881–887, 1999. doi:10.1016/s0006-2952(98)00370-0.
病理实验技巧
瑞沃德切片机在肾脏组织切片中的应用
固定:选择适当的固定时间和温度,以确保组织结构的完整性。
脱水与透明:控制好酒精和透明剂的处理时间,避免过度脱水导致的组织损伤。
包埋与切片:选择合适的石蜡种类和熔点,保证切片的连续性和完整
染色:染色剂的选择和染色时间的控制对结果影响很大,需要根据实
际情况进行优化。
脱蜡与封片:脱蜡要彻底,封片时要确保切片平整、无气泡。
取材:获取新鲜的脂肪组织样本。
包埋及速冻:将脂肪组织放置于样品托上,使用OCT进行包埋,一般组织最大面为包埋面;开启快冷模式,2min后将样品托放置于快冷点上进行速冻,观察到包埋剂三分之二凝固后可使用冷锤从组织上部进行冷却,加快速冻时间。
切片:使用瑞沃德FS800系列冷冻切片机进行脂肪组织切片时样本头
温度设置为-15°℃,箱体温度设置为-20℃C左右。
贴片及染色:切好的组织薄片使用玻片贴片后进行染色。
瑞沃德FS800系列冷冻切片机应用于肾脏组织
切片优点:
半导体快冷点:温度可将至-60°C,30s组织快速冷冻,保障制片效果。
PID温控系统:全开窗切片温度变化不超过2℃,温控更精准,切片操作更便捷。