小鼠乳腺组织病理制片指南
乳腺在动物和人体中具有至关重要的生物学功能和社会意义。作为哺乳动物的核心特征之一,乳腺的主要作用是分泌乳汁,为新生儿提供营养、免疫保护和生长因子(如乳铁蛋白、抗体等),直接影响后代存活与发育。在人类中,乳腺还是重要的第二性征,其发育受性激素(雌激素、孕激素、催乳素等)精密调控,与生殖健康密切相关。
当前常见的乳腺疾病包括感染性疾病如乳腺炎、组织良性病变如乳腺增生、恶性肿瘤如乳腺癌等,都一定程度影响人体的健康。并且在畜牧业,乳腺炎也作为奶牛乳腺常见疾病导致产奶量下降,威胁畜牧业经济。
乳腺组织的病理诊断在疾病模型的研究及临床诊断中具有关键作用。在疾病模型研究中可通过对小鼠乳腺组织的病理诊断探索乳腺疾病的发生机制、药物疗效评估及分子靶点探索等。
1材料
1.1 组织固定液
10%(v/v)甲醛溶液或4% PFA固定液。
1.2 组织处理及包埋试剂
不同浓度的乙醇溶液、二甲苯溶液、包埋石蜡或OCT(用于冰冻制片的组织包埋)
2制片方法
2.1 取材
1) 麻醉后处死小鼠,剃毛器将小鼠腹部被毛剔除,使用75%酒精消毒皮肤;
2) 采集小鼠第四对乳腺(腹股沟乳腺);
3) 将新鲜乳腺组织放入准备好的固定液中固定24h,哺乳期乳腺需要延长至48小时。
2.2 石蜡制片(可根据组织大小等情况调整实际处理流程)
1) 固定好的组织修整为较为规则的组织块,并使用流水冲洗;
2) 乙醇梯度脱水:
70%浓度过夜→80%处理2h→85%处理1h→90%处理1h→95%处理1h→100%处理1h→乙醇:二甲苯(1:1)处理 30min[1];
3) 二甲苯透明:二甲苯处理 2min 左右;
4) 浸蜡
5) 包埋
6) 石蜡切片机切片
2.2 冷冻制片
取材后可直接在冷冻切片机速冻台中包埋,或先固定脱水后包埋。
1) 包埋及速冻:将组织放置于样品托上,使用OCT进行包埋,一般组织最大面为包埋面;
开启快冷模式,2min后将样品托放置于快冷点上进行速冻,观察到包埋剂三分之二凝固后可使用冷锤从组织上部进行冷却,加快速冻时间。
2) 切片:使用瑞沃德FS800系列冷冻切片机进行乳腺组织切片时样本头温度设置为-18℃,箱体温度设置为-25℃左右。
3) 贴片及染色:切好的组织薄片使用玻片贴片后进行染色。

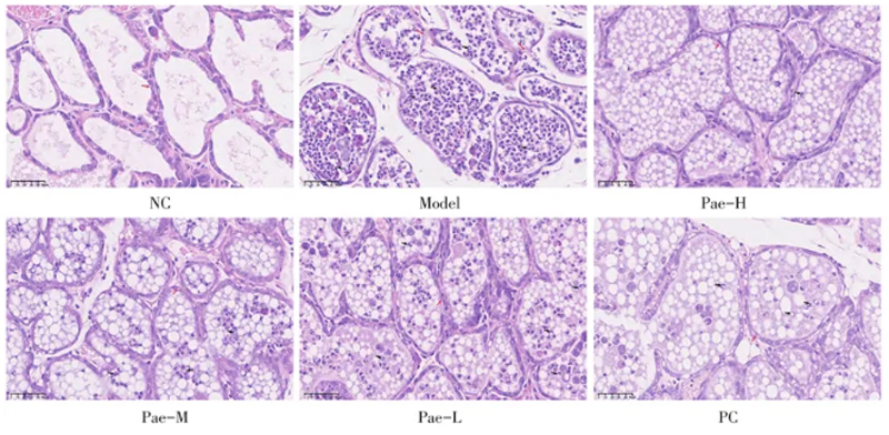
图 1 HE染色后小鼠乳腺组织病理学观察[2]
注:NC-对照组、Model-LPS诱导的小鼠乳腺炎模型组
参考文献:
【1】张迪.丹参多糖对奶牛隐性乳腺炎的治疗作用及其机制研究[D].河北农业大学,2023.DOI:10.27109/d.cnki.ghbnu.2023.000124.
【2】 刘馨鸿,郭超,宋冰,等.芍药苷对乳腺炎小鼠乳腺组织氧化应激损伤的信号通路研究[J].中国预防兽医学报,2024,46(08):847-855.
1)固定:选择适当的固定时间和温度,以确保组织结构的完整
性。
2)脱水与透明:控制好酒精和透明剂的处理时间,避免过度脱水
导致的组织损伤。
3)包埋与切片:选择合适的石蜡种类和熔点,保证切片的连续性
和完整性。
4)染色:染色剂的选择和染色时间的控制对结果影响很大,需要
根据实际情况进行优化。
5)脱蜡与封片:脱蜡要彻底,封片时要确保切片平整、无气泡。
瑞沃德FS800系列冷冻切片机应用于乳腺组织
切片优点:
半导体快冷点:温度可将至-60℃℃,30s组织快速
冷冻,保障制片效果。
PID温控系统: 全开窗切片温度变化不超过2C
温控更精准,切片操作更便捷。
文末福利
